

Abstract:Graph-based representations of images have recently acquired an important role for classification purposes within the context of machine learning approaches. The underlying idea is to consider that relevant information of an image is implicitly encoded into the relationships between more basic entities that compose by themselves the whole image. The classification problem is then reformulated in terms of an optimization problem usually solved by a gradient-based search procedure. Vario-eta through structure is an approximate second order stochastic optimization technique that achieves a good trade-off between speed of convergence and the computational effort required. However, the robustness of this technique for large scale problems has not been yet assessed. In this paper we firstly provide a theoretical justification of the assumptions made by this optimization procedure. Secondly, a complexity analysis of the algorithm is performed to prove its suitability for large scale learning problems.




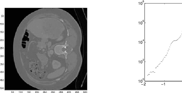
Abstract:The purpose of this paper is to introduce an algorithm that can detect the most unusual part of a digital image in probabilistic setting. The most unusual part of a given shape is defined as a part of the image that has the maximal distance to all non intersecting shapes with the same form. The method is tested on two and three-dimensional images and has shown very good results without any predefined model. A version of the method independent of the contrast of the image is considered and is found to be useful for finding the most unusual part (and the most similar part) of the image conditioned on given image. The results can be used to scan large image databases, as for example medical databases.