



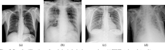
Abstract:Future SARS-CoV-2 virus outbreak COVID-XX might possibly occur during the next years. However the pathology in humans is so recent that many clinical aspects, like early detection of complications, side effects after recovery or early screening, are currently unknown. In spite of the number of cases of COVID-19, its rapid spread putting many sanitary systems in the edge of collapse has hindered proper collection and analysis of the data related to COVID-19 clinical aspects. We describe an interdisciplinary initiative that integrates clinical research, with image diagnostics and the use of new technologies such as artificial intelligence and radiomics with the aim of clarifying some of SARS-CoV-2 open questions. The whole initiative addresses 3 main points: 1) collection of standardize data including images, clinical data and analytics; 2) COVID-19 screening for its early diagnosis at primary care centers; 3) define radiomic signatures of COVID-19 evolution and associated pathologies for the early treatment of complications. In particular, in this paper we present a general overview of the project, the experimental design and first results of X-ray COVID-19 detection using a classic approach based on HoG and feature selection. Our experiments include a comparison to some recent methods for COVID-19 screening in X-Ray and an exploratory analysis of the feasibility of X-Ray COVID-19 screening. Results show that classic approaches can outperform deep-learning methods in this experimental setting, indicate the feasibility of early COVID-19 screening and that non-COVID infiltration is the group of patients most similar to COVID-19 in terms of radiological description of X-ray. Therefore, an efficient COVID-19 screening should be complemented with other clinical data to better discriminate these cases.




Abstract:Outlier, or anomaly, detection is essential for optimal performance of machine learning methods and statistical predictive models. It is not just a technical step in a data cleaning process but a key topic in many fields such as fraudulent document detection, in medical applications and assisted diagnosis systems or detecting security threats. In contrast to population-based methods, neighborhood based local approaches are simple flexible methods that have the potential to perform well in small sample size unbalanced problems. However, a main concern of local approaches is the impact that the computation of each sample neighborhood has on the method performance. Most approaches use a distance in the feature space to define a single neighborhood that requires careful selection of several parameters. This work presents a local approach based on a local measure of the heterogeneity of sample labels in the feature space considered as a topological manifold. Topology is computed using the communities of a weighted graph codifying mutual nearest neighbors in the feature space. This way, we provide with a set of multiple neighborhoods able to describe the structure of complex spaces without parameter fine tuning. The extensive experiments on real-world data sets show that our approach overall outperforms, both, local and global strategies in multi and single view settings.