



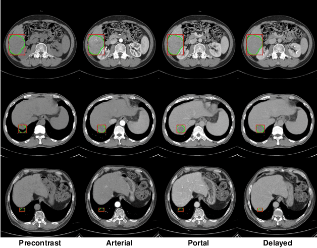
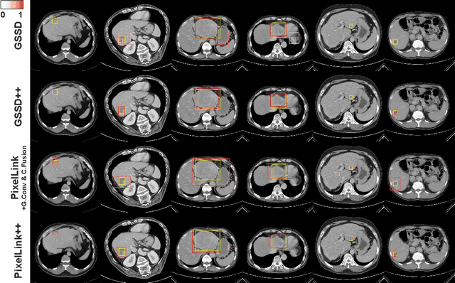
The computer-aided diagnosis of focal liver lesions (FLLs) can help improve workflow and enable correct diagnoses; FLL detection is the first step in such a computer-aided diagnosis. Despite the recent success of deep-learning-based approaches in detecting FLLs, current methods are not sufficiently robust for assessing misaligned multiphase data. By introducing an attention-guided multiphase alignment in feature space, this study presents a fully automated, end-to-end learning framework for detecting FLLs from multiphase computed tomography (CT) images. Our method is robust to misaligned multiphase images owing to its complete learning-based approach, which reduces the sensitivity of the model's performance to the quality of registration and enables a standalone deployment of the model in clinical practice. Evaluation on a large-scale dataset with 280 patients confirmed that our method outperformed previous state-of-the-art methods and significantly reduced the performance degradation for detecting FLLs using misaligned multiphase CT images. The robustness of the proposed method can enhance the clinical adoption of the deep-learning-based computer-aided detection system.