



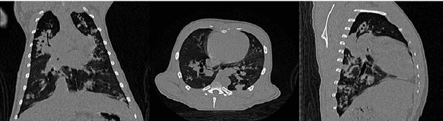
Tuberculosis (TB) is an infectious disease caused by Mycobacterium tuberculosis (Mtb.) that produces pulmonary damage due to its airborne nature. This fact facilitates the disease fast-spreading, which, according to the World Health Organization (WHO), in 2021 caused 1.2 million deaths and 9.9 million new cases. Fortunately, X-Ray Computed Tomography (CT) images enable capturing specific manifestations of TB that are undetectable using regular diagnostic tests. However, this procedure is unfeasible to process the thousands of volume images belonging to the different TB animal models and humans required for a suitable (pre-)clinical trial. To achieve suitable results, automatization of different image analysis processes is a must to quantify TB. Thus, in this thesis, we introduce a set of novel methods based on the state of the art Artificial Intelligence (AI) and Computer Vision (CV). Initially, we present an algorithm to assess Pathological Lung Segmentation (PLS). Next, a Gaussian Mixture Model ruled by an Expectation-Maximization (EM) algorithm is employed to automatically. Chapter 3 introduces a model to automate the identification of TB lesions and the characterization of disease progression. Chapter 4 extends the classification of TB lesions. Namely, we introduce a computational model to infer TB manifestations present in each lung lobe of CT scans by employing the associated radiologist reports as ground truth. In Chapter 5, we present a DL model capable of extracting disentangled information from images of different animal models, as well as information of the mechanisms that generate the CT volumes. To sum up, the thesis presents a collection of valuable tools to automate the quantification of pathological lungs. Chapter 6 elaborates on these conclusions.