



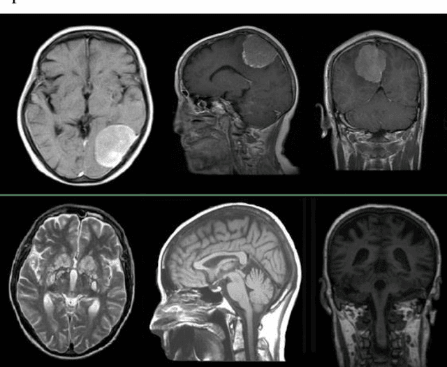
Accurate detection of brain tumors could save lots of lives and increasing the accuracy of this binary classification even as much as a few percent has high importance. Neural Gas Networks (NGN) is a fast, unsupervised algorithm that could be used in data clustering, image pattern recognition, and image segmentation. In this research, we used the metaheuristic Firefly Algorithm (FA) for image contrast enhancement as pre-processing and NGN weights for feature extraction and segmentation of Magnetic Resonance Imaging (MRI) data on two brain tumor datasets from the Kaggle platform. Also, tumor classification is conducted by Support Vector Machine (SVM) classification algorithms and compared with a deep learning technique plus other features in train and test phases. Additionally, NGN tumor segmentation is evaluated by famous performance metrics such as Accuracy, F-measure, Jaccard, and more versus ground truth data and compared with traditional segmentation techniques. The proposed method is fast and precise in both tasks of tumor classification and segmentation compared with other methods. A classification accuracy of 95.14 % and segmentation accuracy of 0.977 is achieved by the proposed method.