



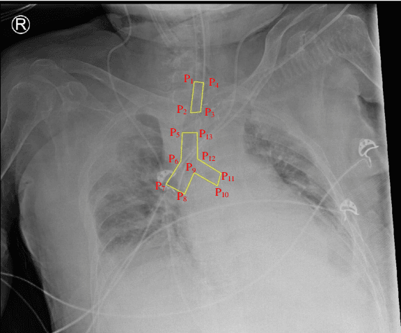
The image quality of portable supine chest radiographs is inherently poor due to low contrast and high noise. The endotracheal intubation detection requires the locations of the endotracheal tube (ETT) tip and carina. The goal is to find the distance between the ETT tip and the carina in chest radiography. To overcome such a problem, we propose a feature extraction method with Mask R-CNN. The Mask R-CNN predicts a tube and a tracheal bifurcation in an image. Then, the feature extraction method is used to find the feature point of the ETT tip and that of the carina. Therefore, the ETT-carina distance can be obtained. In our experiments, our results can exceed 96\% in terms of recall and precision. Moreover, the object error is less than $4.7751\pm 5.3420$ mm, and the ETT-carina distance errors are less than $5.5432\pm 6.3100$ mm. The external validation shows that the proposed method is a high-robustness system. According to the Pearson correlation coefficient, we have a strong correlation between the board-certified intensivists and our result in terms of ETT-carina distance.