



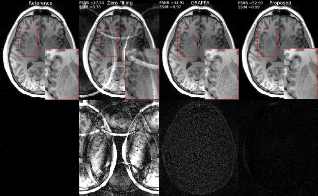
Fast data acquisition in Magnetic Resonance Imaging (MRI) is vastly in demand and scan time directly depends on the number of acquired k-space samples. Conventional MRI reconstruction methods for fast MRI acquisition mostly relied on different regularizers which represent analytical models of sparsity. However, recent data-driven methods based on deep learning has resulted in promising improvements in image reconstruction algorithms. In this paper, we propose a deep plug-and-play prior framework for parallel MRI reconstruction problems which utilize a deep neural network (DNN) as an advanced denoiser within an iterative method. This, in turn, enables rapid acquisition of MR images with improved image quality. The proposed method was compared with the reconstructions using the clinical gold standard GRAPPA method. Our results with undersampled data demonstrate that our method can deliver considerably higher quality images at high acceleration factors in comparison to clinical gold standard method for MRI reconstructions. Our proposed reconstruction enables an increase in acceleration factor, and a reduction in acquisition time while maintaining high image quality.