



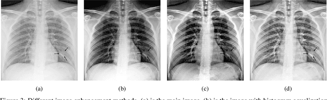
One of the primary clinical observations for screening the infectious by the novel coronavirus is capturing a chest x-ray image. In most of the patients, a chest x-ray contains abnormalities, such as consolidation, which are the results of COVID-19 viral pneumonia. In this study, research is conducted on efficiently detecting imaging features of this type of pneumonia using deep convolutional neural networks in a large dataset. It is demonstrated that simple models, alongside the majority of pretrained networks in the literature, focus on irrelevant features for decision-making. In this paper, numerous chest x-ray images from various sources are collected, and the largest publicly accessible dataset is prepared. Finally, using the transfer learning paradigm, the well-known CheXNet model is utilized for developing COVID-CXNet. This powerful model is capable of detecting the novel coronavirus pneumonia based on relevant and meaningful features with precise localization. COVID-CXNet is a step towards a fully automated and robust COVID-19 detection system.