



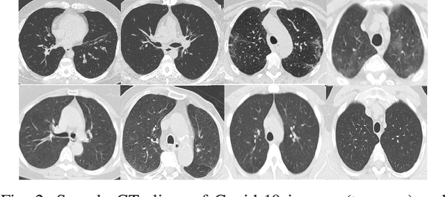
Deep learning is effective in diagnosing COVID-19 and requires a large amount of data to be effectively trained. Due to data and privacy regulations, hospitals generally have no access to data from other hospitals. Federated learning (FL) has been used to solve this problem, where it utilizes a distributed setting to train models in hospitals in a privacy-preserving manner. Deploying FL is not always feasible as it requires high computation and network communication resources. This paper evaluates five FL algorithms' performance and resource efficiency for Covid-19 detection. A decentralized setting with CNN networks is set up, and the performance of FL algorithms is compared with a centralized environment. We examined the algorithms with varying numbers of participants, federated rounds, and selection algorithms. Our results show that cyclic weight transfer can have better overall performance, and results are better with fewer participating hospitals. Our results demonstrate good performance for detecting COVID-19 patients and might be useful in deploying FL algorithms for covid-19 detection and medical image analysis in general.